presented by Walter Struhal, Franz Gruber, Milan Vosko, Daniel Floery, Franz Fellner, Stephanie Hödl, Klaus Böck and Gerhard Ransmayr
Case presentation:
A 37-year-old woman was admitted to the emergency department with a Glasgow Coma Scale 13. She had suffered a high impact car accident during an overtaking manoeuvre. Besides moderate traumatic brain injury she presented polytrauma with several head contusions, bilateral lung contusion and pneumothorax.
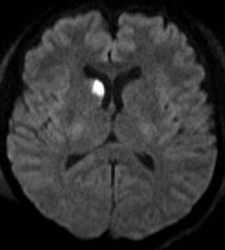
Neurologic examination revealed a complete left sided oculomotor lesion. Besides that no focal neurological signs were present. She was sedated and intubated at the emergency department and transferred to the Neurological Intensive Care Unit (NICU). Admission MR-angiogram showed bilateral dissection of internal carotid artery ranging from bifurcation up to intracranial region (Figure1, Figure 2). Intravenous heparine was started. On day 3 after admission, control MRI diffusion weighted images showed multifocal lacunar infarctions frontoparietal bilateral, in the right ncl. caudatus and in the corpus callosum. (Figure 3)
During the first days at the NICU her blood pressure was stabilised at about 130mmHg systolic to prevent deterioration of her dissections. Regular adaptions of the catecholamine treatment were necessary to cope with her extensive blood pressure variations. Other than marked blood pressure variability, the further course at the NICU was unremarkable.
On day 13, after a short weaning period, she could be extubated. Heparine was changed to phenprocoumon and sertralin 50mg was started to treat reactive depression.
Early mobilisation started 3 days later. At this time blood pressure was stable without catecholamines but she showed tachycardic episodes at night. During mobilisation the patient experienced recurrent episodes of light headedness. 4 days after mobilisation the patient suffered a presyncope in sitting position.
During the next days, light headedness and palpitation during sitting and walking increased and the patient suffered extreme attacks of fatigue, being unable to walk longer distances in the patient ward.
Ewing battery – a standard test battery for autonomic testing including parasympathetic and sympathetic reflex stimuli – was performed in the autonomic lab 11 days after mobilisation started. Heart rate variability (HRV) was unremarkable with CV 4.22 and expiration/inspiration ratio 1.22; Valsalva ratio was normal with ratio 1.88 and normal phase IIb and IV. 70° head up tilt (HUT) showed a marked increase of heart rate from 80 to 147 beats per minute (Figure 4), initially without blood pressure drop. 5 minutes after HUT started, there was a rapid blood pressure drop to 39/19mmHg with decrease in heart rate resembling neurocardiogenic syncope. Postural orthostatic tachycardia was diagnosed. Baroreceptor sequences could not be detected using the sequence technique [1] during relaxed lying. At the same time MRI angiography showed progression of dissection on both sides with increasing length and calibre reduction.
After receiving the results on noradrenaline levels (271pg/ml supine, 897pg/ml tilted) the hyperadrenergic subtype of Postural orthostatic Tachycardia Syndrome (PoTS) was diagnosed and a treatment with propranolol 40mg in the morning was initiated. The patient felt well on the very day treatment was initiated. She could from that point follow physiotherapy without problems and had only slight light headedness and no palpitation also walking longer distances.
Two days after treatment initiation Ewing battery was repeated and was unremarkable. On HUT heart rate increased from 71 to 99, during which the patient kept being asymptomatic. Sequence technique showed no baroreceptor sequences.
We felt the patient should stay hospitalised due to the progression of her bilateral dissection. However being rid of the orthostatic symptoms, the patient thought to be well enough to leave the hospital against medical advice.
The patient was followed up for 8 months. Ewing battery in the 3rd month was unremarkable. At the 7th month routine control Ewing battery showed asymptomatic orthostatic hypotension. Propranolol treatment was stopped. Without propranolol Ewing battery was repeated in month 8 with unremarkable results; there were no signs of PoTS.
Comments by the authors:
PoTS is a common autonomic disorder with heterogeneous pathogenesis. It is defined as presence of symptoms of orthostatic intolerance associated with a heart rate increase of 30 bpm (or rate that exceeds 120 bpm) that occurs within the first 10 minutes of standing upright tilt [2].
For baroreflex failure there are several causes reported: accidental trauma, carotid endarterectomy or other therapeutical procedures for pathology in relevant anatomic areas (carotid body tumor resection, radiation of laryngopharyngeal cancer [3]), brain stem stroke as well as rare genetic disorders (Leigh’s Syndrome, Groll-Hirschowitz Syndrome, hypertension-bradydactyly syndrome). Several clinical manifestations of baroreflex failure have been described, mainly hypertensive crisis, volatile hypertension, malignant vagotonia and also orthostatic tachycardia [4].
Immobilization and prolonged bed rest is associated with cardiovascular changes. Decreased vagal control of the heart and reduced heart rate variability occurs starting two weeks of prolonged bed rest. Decreased spontaneous baroreflex slope is reported in studies from 4 to 42 days duration. Heart rate is increased; noradrenaline levels either stay unchanged or are reduced during long time bed rest. Orthostatic intolerance is reported even after short time bed rest [5].
Our patient – subsequent to traumatic bilateral carotid dissection – presented symptoms and signs of PoTS of the hyperadrenergic type during autonomic testing. We take two important mechanisms into consideration being responsible for her clinical presentation.
The patient most probably suffered bed rest syndrome initially because the patient was immobilized for over 16 days after her accident and also had tachycardic episodes during this time [6,7]. However HRV was not reduced in her case, which one would expect in bed rest syndrome and catecholamine levels were elevated.
PoTS of partial dysautonomic form is reported to start after trauma or surgery [8], however we felt this was not the case in our patient. At the intensive care, blood pressure variability was a major problem [9]. During autonomic testing, baroreflex sequences were reduced compared to 7 months later. High noradrenaline values drew a typical picture of the hyperadrenergic subtype.
There are two possible pathomechanisms of decreased baroreflex sequences in this patient. She suffered bilateral dissection which included the bifurcation with possible bilateral denervation of her baroreceptors. This is supported by her initial intermitted blood pressure changes as well as orthostatic tachycardia which are both described for cases of baroreceptor injury [10]. Bed rest syndrome might as second pathomechanism be in part responsible for her reduced baroreflex.
Medical treatment with beta blocker (propranolol) – described to be beneficial for patients with hyperadrenergic POTS [11] – permanently solved the patient subjective problems such as lightheadedness and tachycardia. Further autonomic testing also could confirm clinical changes by showing no pathological findings.
We assume that our patient was suffering transient PoTS of hyperadrenergic type due to baroreceptor dysfunction in association with long time immobilisation. Nevertheless the patient responded quite well to beta blocker therapy, which a study described to have no beneficial effects on bed-rest syndrome [12].
The patient remained symptom-free for over half a year; asymptomatic orthostatic hypotension was observed during follow up autonomic testing. After discontinuation of propranolol the patient showed no symptoms or signs of autonomic dysfunction.
References:
[1] Parati, Journal of Hypertension 2000, 18:7-19
[2] Grubb et al J Cardiovasc Electrophysiol, Vol. 17, pp108-112 Jan 2006
[3] Timmers et al. Ann. N.Y. Acad. Sci. 1018:515-519 (2004)
[4] Ketsch et al. Circulation 2002;105:2518-2523
[5] Pavy-Le Traon et al. Eur J Appl Physiol (2007) 101:143–194
[6] Dittmer et al. Can Fam Physican 1993 ;39 :1428-1437
[7] Chobanian et al. Circulation 1974;49;551-559
[8] Grubb, Circulation 2008: 2814
[9] Ketsch et al. Circulation 2002;105:2518-2523
[10] Ketsch et al. Circulation 2002;105:2518-2523
[11] Thieben et al. Mayo Clin Proc. March 2007;82(3):308-313
[12] Haruna et al. J Gravit Physiol. Vol 4, Issue 1 ; Jan 1997, S.69-71
Dr. Walter Struhal is working at the Autonomic Unit and Neurological Intensive Care Unit of the Department of Neurology at the General Hospital in Linz, Austria.
Dr. Franz Gruber is working at the Neurological Intensive Care Unit of the Department of Neurology at the General Hospital in Linz, Austria.
Dr. Milan Vosko is working at the Neurological Intensive Care Unit of the Department of Neurology at the General Hospital in Linz, Austria.
Dr. Daniel Floery is working at the Institute of Radiology at the General Hospital in Linz, Austria.
Dr. Franz Fellner is Professor of Radiology and Head of the Institute of Radiology at the General Hospital in Linz, Austria.
Dr. Stephanie Hödl is working at the Autonomic Unit of the Department of Neurology at the General Hospital in Linz, Austria.
Dr. Klaus Böck is working at the Autonomic Unit of the Department of Neurology at the General Hospital in Linz, Austria.
Dr. Gerhard Ransmayr is Professor of Neurology and Head of the Department of Neurology at the General Hospital in Linz, Austria.
Comment by Roland D. Thijs
A presentation on PoTS at an autonomic congress often results in vivid discussions. At the one hand a somatic approach is favoured: various cardiovascular autonomic causes ranging from ganglionic acetylcholine receptor antibodies to norepinephrine-transporter deficiency are listed and medications are advocated.[1] At the other hand it is argued that medicalisation should be avoided since PoTS may have behavioural causes such as inactivity or bed rest.[2] From this viewpoint, exercise training is the favoured approach. As always, the truth lies in the middle. PoTS is heterogeneous in presentation and mechanisms. Major mechanisms are denervation, hypovolemia, deconditioning, and hyperadrenergic state. This case report by Struhal et al. underscores the complexity and the heterogenity of PoTS. The patient developed her complaints after prolonged bed-rest following a severe neurotrauma causing a bilateral carotid dissection. Autonomic investigations indicated that PoTS but the findings could not be explained by decondition alone. The autonomic responses to head-up tilt also pointed towards a concomitant cause: baroreflex dysfunction with the carotid dissection as the most plausible cause. A pathophysiologically based regimen of management including both mobilisation and beta blocker treatment was installed. The interventions proved successful: the patient became symptom-free and the medication could be withdrawn. This case report thus perfectly illustrates the different viewpoints on PoTS and favours a holistic approach in patients with orthostatic intolerance.
References:
1. Mathias CJ, Low PA, Iodice V, Owens AP, Kirbis M, Grahame R. Postural tachycardia syndrome–current experience and concepts. Nat Rev Neurol. 2011 6;8(1):22-34.
2. Joyner MJ. Standing up for exercise: should deconditioning be medicalized? J Physiol. 2012;590(Pt 15):3413-4.
Roland D. Thijs is Neurologist at the Stichting Epilepsie Instllingen Nederlan (S.E.I.N.) in Heemstede, The Netherlands








